Ám ảnh với nguy cơ ung thư lơ lửng trên đầu
– PV: Thưa chị, chị có thể giới thiệu đôi nét về bản thân?
– Chị Trần Thị Huệ (46 tuổi, trú tại đường Hoàng Văn Thụ, phường 4, quận Tân Bình, TP.HCM): Tôi vốn quê gốc ở Quảng Bình, vào Nam đã gần 30 năm. Hiện tại, tôi có một cửa hàng may quần áo trên đường Hoàng Văn Thụ. Tôi đã lập gia đình, hiện có 3 người con gái. Con gái lớn nhất là Phương Trinh, đang học đại học năm thứ 3. Nói chung, mọi thứ trong cuộc sống của tôi đều khá tốt đẹp.
– Được biết, chị đã phát hiện hai khối u ở ngực từ năm 2013. Cụ thể là như thế nào?
– Như tôi đã nói, nếu không gặp phải biến cố về sức khỏe thì có thể nói tôi là một người may mắn về nhiều thứ. Thú thực, tôi chưa bao giờ nghĩ mình sẽ mắc bệnh nặng. Thỉnh thoảng, tôi có đau đầu, sổ mũi chứ không có bệnh gì nghiêm trọng.
Hơn nữa, tôi vẫn duy trì khám sức khoẻ định kỳ hàng năm, và bác sỹ cũng nói thể trạng của tôi rất tốt, cứ yên tâm. Hồi cuối năm 2013, tôi đi khám sức khoẻ định kỳ. Tôi bảo lâu quá rồi không soi X-quang ở ngực nên nói với bác sỹ là khám ở đó xem sao.
Chị Huệ chia sẻ về quá trình chữa bệnh bằng Diện Chẩn
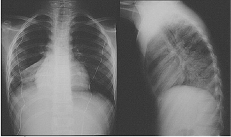
Bác sỹ chụp phim, rồi kêu với tôi: “Chết, chết, em phát hiện trong ngực của chị, mỗi bên có một khối u lớn, kích thước 150x110mm, mà lại nổi hạch xung quanh. Em nghi ngờ khối u này là ác tính, bởi khối u lành tính hiếm khi có hạch như vậy”. Tôi nghe bác sỹ nói vậy mà bủn rủn chân tay, trời đất như sụp xuống.
Bác sỹ chuyển tôi đến bệnh viện lớn của thành phố để xác định chính xác xem khối u đó là lành hay ác. Lúc gặp bác sỹ ở đó, tôi nói họ sỹ đừng giấu gì, cứ bảo thẳng tình trạng thế nào để tôi còn lo liệu. Thực sự, tôi đã nghĩ đến điều xấu nhất. Chỉ hiềm một nỗi là các con tôi còn nhỏ quá.
Và kết quả như thế nào? Khối u của chị là lành hay ác tính, và chị đã đối phó với nó ra sao?
– May mắn quá trời, khối u của tôi là lành tính. Tuy nhiên, bác sỹ cũng cảnh báo tôi là phải uống thuốc và theo dõi thường xuyên. Vì khối u lành vẫn có khả năng ác hoá và trở thành ung thư. Như vậy, tôi vừa mừng vừa lo. Mừng vì chưa bị bệnh chết người, nhưng cũng lo lắng, sợ hãi vì nguy cơ mắc bệnh ung thư vẫn treo lơ lửng trên đầu như máy chém chờ hành quyết. Tôi rất sợ.

Thời gian từ năm 2013 đến cuối năm 2014, tôi chủ yếu uống thuốc có tinh chất của cây trinh nữ hoàng cung để kìm hãm sự phát triển của khối u. Tôi cũng đi kiểm tra mấy lần, nhưng bác sỹ cho biết khối u vẫn không tiêu bớt. Cứ như vậy, thời gian trôi qua hơn một năm, tôi sống chung với khối u trong tâm trạng ám ảnh, sợ hãi.
Mẹ con “hợp đồng tác chiến” đánh tan bệnh tật
Bệnh tình của chị diễn tiến ra sao?
– Uống thuốc có tinh chất từ cây trinh nữ hoàng cung trong thời gian khá dài, tôi thấy khối u không phát triển nữa và có biểu hiện ổn định. Tôi thầm nhủ, có lẽ tính mạng của mình không bị ảnh hưởng. Cũng vì thế, đến cuối năm 2014, tôi gần như đã quên đi sự tồn tại của khối u. Coi như “sống chung với lũ”.
Khoảng tháng Chạp năm 2014 Âm lịch, tức là đầu năm 2015 Dương lịch, tôi vô tình chạm vào khối u ở ngực thì thấy đau dữ dội. Đau phát sốt luôn. “Chắc khối u ác hoá thành ung thư rồi” – tôi nghĩ vậy. Chỉ mới tưởng tượng cảnh mình mắc bệnh ung thư, tôi đã choáng váng mê man.
Chồng con của tôi nói rằng phải đi bệnh viện gấp, may ra còn cơ hội sống. Nhưng, đợt ấy là gần Tết nên tôi muốn cả gia đình sum họp bên nhau. Ngộ nhỡ tôi đến bệnh viện mà xác định là ung thư thật sự, thì sẽ không được hưởng cái tết vui vẻ cuối cùng.
Như vậy, ra Tết, chị có đến bệnh viện để kiểm tra bệnh hay không?
– Không. Chuyện chữa bệnh của tôi bước vào một ngã rẽ mới do được một cụ bà ở gần nhà mách cho. Số là, bà này mắc bệnh tiểu đường và cao huyết áp. Hồi trước Tết, bà ấy đọc báo và biết đến bộ môn Diện Chẩn. Vì thế, bà ấy đã tìm đến 16 Ký Con (quận Phú Nhuận, TP.HCM) để nhờ thầy Bùi Minh Tâm (là con trai trưởng của GS. TSKH
Bùi Quốc Châu
– PV) chữa bệnh.
Sau 3 buổi điều trị bằng Diện Chẩn, bà cụ đã ăn được, ngủ tốt mà không lo sợ bệnh tiểu đường nữa, huyết áp cũng không tăng. Nghe bà cụ nói chuyện, tôi thấy phương pháp này hay quá nên cũng tìm đến gặp thầy Tâm xem sao.
Thầy Tâm rất đông bệnh nhân, vì thế, tôi chờ mãi mới đến lượt mình. Thầy bấm huyệt ở mặt cho tôi trong vòng 30 phút là tôi thấy cơ thể đổi khác, khối u không còn đau dị thường như trước. Qua ngày hôm sau, rồi hôm sau nữa, tôi tiếp tục đến để được thầy Tâm chữa bệnh.
Phương Trinh cũng đang điều trị bệnh

Tuy nhiên, do thầy Tâm nhiều bệnh nhân quá, nên tôi phải chờ đợi rất lâu. Vừa hay, con gái lớn của tôi – tức là cháu Phương Trinh – đang bảo lưu năm thứ 3 Đại học do bị thương ở chân. Tôi nói cháu tới học thầy Tâm để về trị bệnh cho mẹ, chứ ngày nào cũng phải chờ đợi thì mẹ không có thời gian.
Phương Trinh bày tỏ ý muốn học Diện Chẩn với thầy Tâm và được thầy giúp đỡ nhiệt tình. Chỉ sau mấy buổi học, cháu đã có thể bấm cho mẹ. Hàng ngày, cháu bấm cho tôi vào buổi sáng và buổi tối. Liên tiếp như vậy trong hơn một tháng thì khối u của tôi tiêu biến hết, tôi ấn vào không thấy đau nữa.
Tôi đi bệnh viện để kiểm tra thì bác sỹ nói không còn hạch trong ngực, khối u cũng chỉ còn rất nhỏ là 4mm, phải dò kỹ lắm mới thấy. Quan trọng là sức khoẻ của tôi trở lại trạng thái tốt như trước khi phát hiện ra khối u, tinh thần sảng khoái, vui tươi.
Đối với bộ môn Diện Chẩn, chị có cảm nghĩ thế nào?
– Tôi đã được giải thoát khỏi gánh nặng tâm lý và bệnh lý nhờ Diện Chẩn. Bên cạnh đó, con gái Phương Trinh của tôi cũng học được rất nhiều điều từ Diện Chẩn. Hiện tại, cháu có thể trị bệnh cho mọi người trong gia đình, thậm chí còn chữa được các bệnh thông thường cho bà con chòm xóm. Nói tóm lại, từ khi biết đến Diện Chẩn, tôi chỉ nhận toàn niềm vui.
– Xin cảm ơn chia sẻ của chị!
Kỳ sau: Diện Chẩn: Trở về từ cửa tử nhờ phương pháp tiêu biến khối u cực kỳ đơn giản

Hoài Sơn
- Kem chống nắng Super Perfect The Face Shop review sản phẩm hot nhất
- Có nên dán phim cách nhiệt 3M không? Ưu nhược điểm phim 3M chính hãng
- Giải mã bí ẩn hiện tượng lạ lùng: Nhìn thấy sự việc trước tương lai
- Mì cay 7 cấp độ Sài Gòn chỗ nào ngon nhất?
- Huyệt trai tân, cách để nhận biết con trai có còn trinh hay không?
- Hồ Ngọc Hà sinh đôi một trai, một gái. Lộ luôn tên của 2 nhóc tỳ


















